조이치과
컨텐츠 바로가기
커뮤니티
Community
  • 다음카페

치료사례    |    > 커뮤니티 > 치료사례


 
작성일 : 13-03-24 18:35
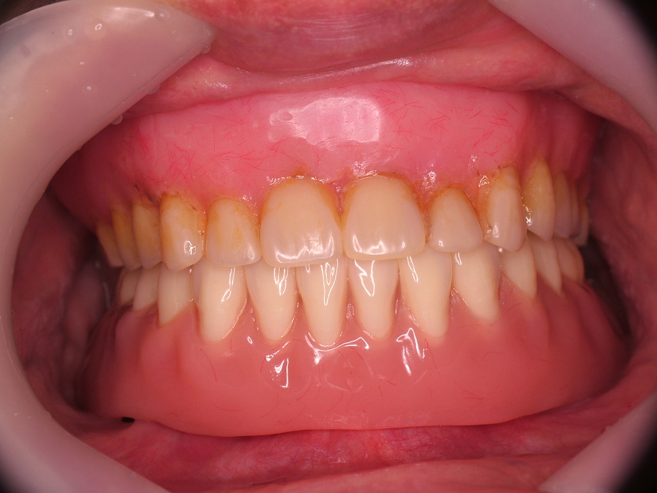
[임플란트] 제목 : 하악 임플란트지지 틀니
 글쓴이 : 조이치과
조회 : 1,845  

오랜 틀니 사용으로 어금니쪽에 뼈가 녹고 신경관이 가까와져서 임플란트를 심을 수 없었습니다, 차선책으로 앞쪽으로만 하악 임플란트 4개를 심고 후방연장된 바를 제작한 후 그 위에 틀니를 제작하였습니다.