| 치료(전/후) |
진료내용 |
|
|
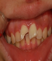
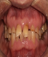
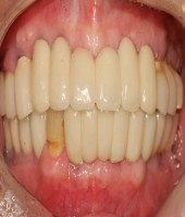
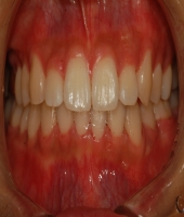
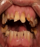
| ● 진료과목 : [심미보철] 돌출치아의 치료
|
| ● 내용 : 사고로 인한 돌출치아의 치료 |
|
|
|
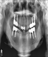
| ● 진료과목 : [임플란트] 틀니 사용중, 임플란트로 교체하기
|
| ● 내용 : 하악틀니 사용 중 불편감으로 임플란트로 교체한 예 |
|
|
|
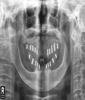
| ● 진료과목 : [임플란트] 치주환자의 임플란트 보철치료
|
| ● 내용 : 50대 치주환자의 임플란트치료. |
|
|
|
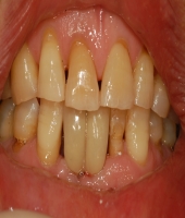
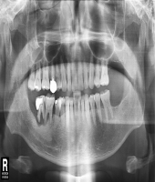
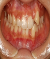
| ● 진료과목 : [임플란트] 치주환자의 보철치료
|
| ● 내용 : 60대 치주환자의 보철치료 |
|
|
|
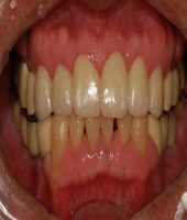
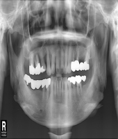
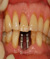
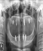
| ● 진료과목 : [임플란트] 임플란트 지지 틀니
|
| ● 내용 : 상악 임플란트 지지 틀니와 하악 고정식 보철의 만남. |
|
|
|
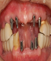
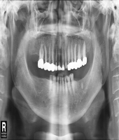
| ● 진료과목 : [임플란트] 어테치먼트를 이용한 틀니치료
|
| ● 내용 : 오래된 틀니 사용으로, 골흡수가 심하게 진행된 고령의 무 |
|
|
|
| ● 진료과목 : [임플란트] 충치 및 치주질환 임플란트
|
| ● 내용 : 충치와 치주질환에 의한 치아상실로 임플란트 치료함. |
|
|
|
| ● 진료과목 : [임플란트] 치아상실 후 임플란트
|
| ● 내용 : 다수 치아의 상실 후 임플란트 치료 |
|
|
|
| ● 진료과목 : [치아교정] (교정)비발치 총생 치료
|
| ● 내용 : 심한 총생에서도 발치 없이 교정치료 |
|
|
|
| ● 진료과목 : [치아교정] (교정)총생의 치료
|
| ● 내용 : 구치견인을 이용한 한쪽으로 기울어진 총생의 치료 |
|
|
|
| ● 진료과목 : [임플란트] 하악 전치부 골폭이 좁은 경우
|
| ● 내용 : 일체형 임플란트로 . . |
|
|
|
| ● 진료과목 : [임플란트] 임플란트에 의한 교합기능 재건
|
| ● 내용 : 임플란트에 의한 교합기능 재건 |
|
|
|
| ● 진료과목 : [보철,충치치료] 전악 재건
|
| ● 내용 : 전악 재건 |
|
|
|
| ● 진료과목 : [보철,충치치료] 전악 재건
|
| ● 내용 : 전악 재건 |
|
|
|
| ● 진료과목 : [임플란트] 전치부 임플란트
|
| ● 내용 : |
|