조이치과
컨텐츠 바로가기
커뮤니티
Community
  • 다음카페

치료사례    |    > 커뮤니티 > 치료사례


 
작성일 : 15-12-03 15:30
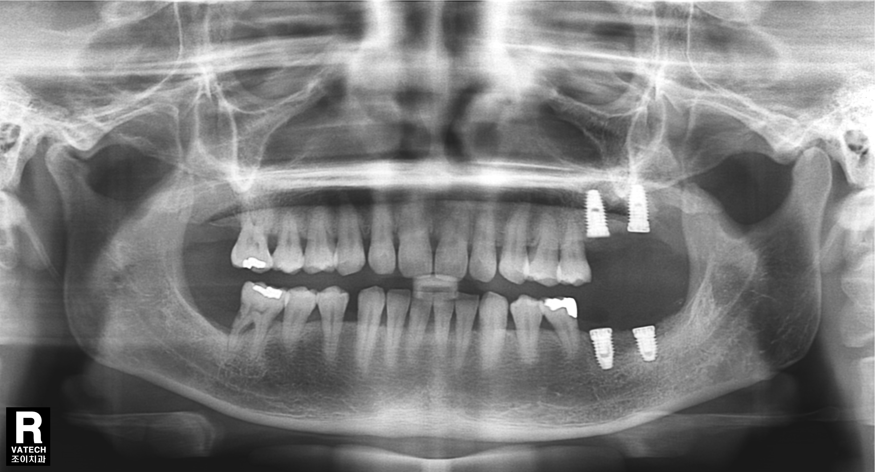
[임플란트] 제목 : 잇몸뼈가 심하게 녹은 환자에서의 임플란트
 글쓴이 : 조이치과
조회 : 2,745  

치주질환으로 치조골이 많이 녹아 내려간 경우 원하는 위치에 바로 임플란트를 심을 수 없는 경우가 많습니다.
또한 임플란트의 실패율도 높아집니다.

이 경우 골을 이식하는 것을 먼저 하고 수개월이 경과한 후에 다시 임플란트를 심어야 합니다.
그래야 원하는 위치에 임플란트를 심을 수 있고, 성공율을 높이며, 장기간 문제 없이 잘 유지할 수 있습니다.