조이치과
컨텐츠 바로가기
HOME
즐겨찾기추가
관리자
조이치과
임플란트
심미치료
턱관절/사각턱
치아교정
일반진료
커뮤니티
조이치과 특장점
의료진 소개
시설 및 장비
병원 둘러보기
오시는 길
진료시간 안내
물방울 레이저 임플란트
유형별 임플란트
방법별 임플란트
임플란트 지지 틀니
임플란트 재수술, 재보험
조이치과 심미치료의 특장점
심미보철
레이저 잇몸미백
레이저 잇몸성형
턱관절, 사각턱 치료의 특장점
턱관절 장애
사각턱 / 이갈이 / 이 악물기
구내염치료
교정치료란?
소아,청소년 교정치료의 시기
덧니교정
돌출입교정
투명교정
보철치료
충치치료
시린이 치료
신경치료
잇몸치료
소아치료
공지사항
치료사례
협력관계
교육과정안내
교육Q&A
대회개요
공지사항
참가신청
접수확인
문의하기
운영규칙
커뮤니티
Community
공지사항
치료사례
협력관계
치료사례
|
> 커뮤니티 > 치료사례
작성일 : 17-06-06 13:12
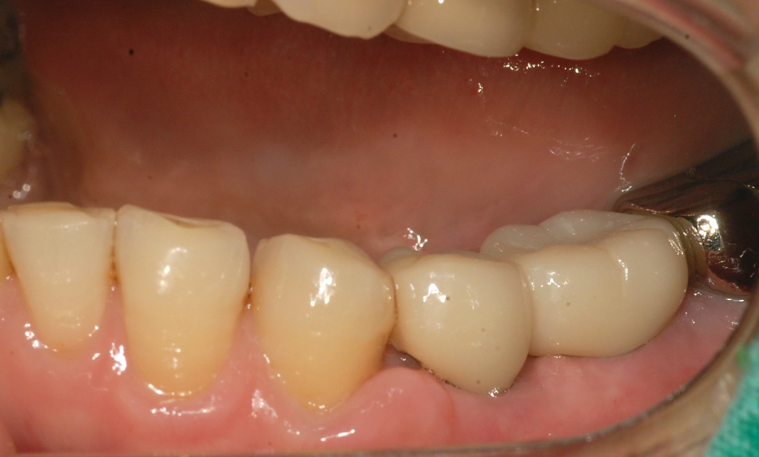
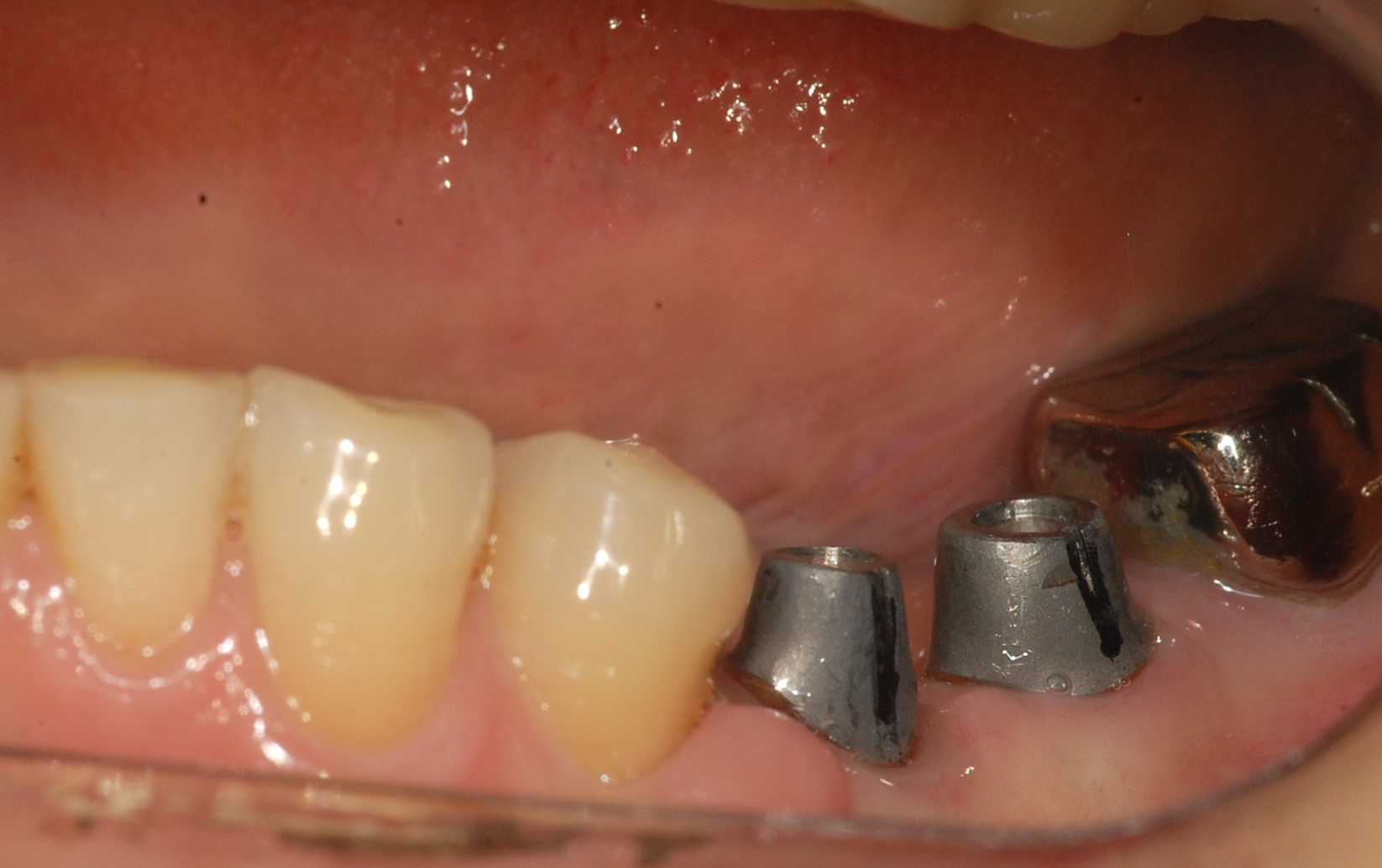
[임플란트] 제목 : 임플란트 지르코니아.
글쓴이 :
조이치과
조회 : 2,337
임플란트 지르코니아 보철