조이치과
컨텐츠 바로가기
커뮤니티
Community
  • 다음카페

치료사례    |    > 커뮤니티 > 치료사례


 
작성일 : 17-03-16 18:25
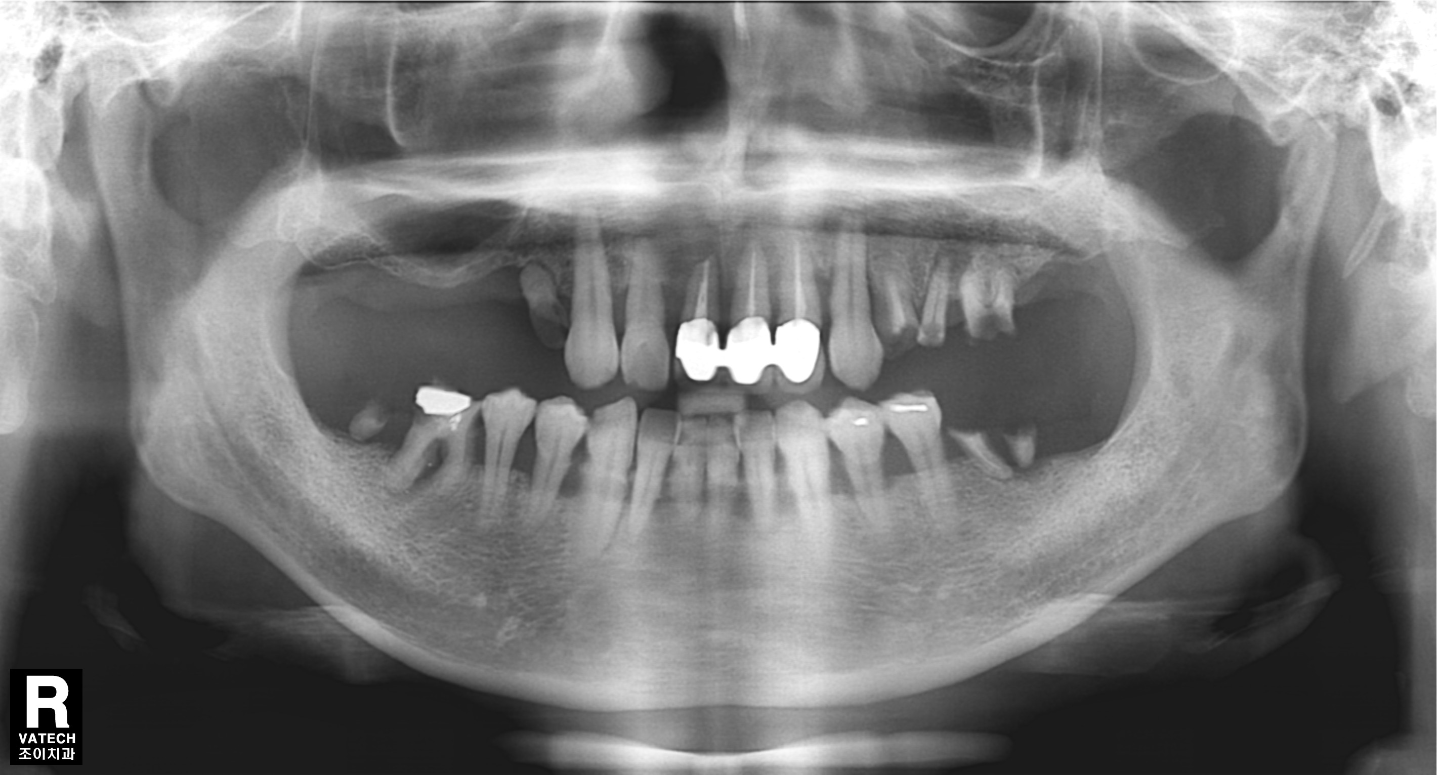
[임플란트] 제목 : 전반적 충치-치주질환에 이환된 젊은 환자의 치료
 글쓴이 : 조이치과
조회 : 2,570  

오복 중 하나로 건강한 치아를 꼽습는다.
만일 현재처럼 임플란트와 충치치료를 할 수 없는 시대에 태어났다면, 그리고 젊은 나이에 치아가 모두 상한 경우라면 평생을 살아가는 데 삶의 질은 건치와 비교하여 정말 엄청난 차이가 있을 것 같습니다.
의학의 발전으로 자연치아와 거의 유사한 인공치아를 가질 수 있으니 참 좋은 일입니다.